肿瘤精准诊疗— 赛诺威盛导航机器人助力内蒙古肿瘤医院介入科室能力建设
2019年6月29日,中国内蒙古——近日,为助力介入科室诊疗能力建设,“赛诺威盛机器人穿刺导航系统对介入新型介入科室贡献研讨会”在内蒙古自治区肿瘤医院介入科如期举行,全国近30多位医院院长及科室负责人参会。
目前在CT引导下的微创介入已成为实现肿瘤精准诊疗的重要手段。其安全、高效、微创、适应症广、费用低廉、并发症少等优势已成为肿瘤治疗中继外科手术、放疗和化疗之后的新兴治疗手段,很多专科医院和专业科室把介入诊疗能力的提升作为重要建设方向。
与会专家合影
内蒙古自治区肿瘤医院是一家位于呼和浩特市的三级甲等肿瘤专科医院。冯铁虹主任是内蒙古地区最早研究介入手术的专家之一,有二十余年丰富的临床经验,在冯铁虹主任建议下,医院于2018年3月引进智能导航机器人。导航机器人的临床应用帮助介入科室初步实现了肿瘤规范化、精准化、个性化诊疗,不断提高患者收治能力。
会上冯铁虹主任对导航机器人的工作原理,工作流程,手术应用中的优点,肿瘤介入手术种类,高端设备在科室建设中的作用和病例分享等多方面多维度的介绍了导航机器人在医院介入科室的使用情况。
冯铁虹主任介绍导航机器人
机器人靶向导航穿刺系统是医生根据病变扫描图像,设计进针轨迹的一款导航产品,能够与CT扫描仪快速匹配,实现导引针在人体内的准确定位以执行穿刺手术。通过扫描图像医生根据病变情况设计进针轨迹,包括进针点,进针路径,方向和深度等,避开重要器官和血管,以避免造成患者内部损伤,精确度达±1mm。导航机器人的应用可弥补科室整体医疗技术不足,充分提高青年医师的介入能力。同时能够将人为错误降至最低,提高手术效率,减少穿刺次数,节省手术时间,降低患者80%的辐射剂量,减少患者痛苦。
冯铁虹主任与专家探讨交流
Perfint CEO Nandu先生介绍了导航机器人全球临床应用情况,包括临床手术种类,与徒手穿刺临床治疗效果对比等。并对 404 例手术做了真实临床数据统计,一针到位平均误差在1.5mm,计划处置时间降低到7分钟。大幅减少了布针调整次数,降低了扫CT描验证的次数,提高了手术的精准度和安全性。
Nandu介绍导航机器人全球使用情况
随后,与会专家现场观摩了两例导航机器人引导下的介入手术。
病例一:患者白某,女,52岁,肺癌患者肝脏转移瘤行微波消融手术。转移瘤病灶大小约1.5cmx2cm,病灶位于肝左叶肋软骨后缘1cm处,同时离膈肌位置较近,进针角度复杂,需要避开肋软骨及膈肌层面。通过导航机器人计划系统设计出由外侧向内侧的进针路径,进针角度-55°,进针深度8cm,实现一次计划同时布置3针。通过扫描验证,实现一次进针到达理想消融位置,消融完全。手术过程中CT扫描共三次,计划处置时间10min,术后未发生并发症。
直播手术现场
肿瘤消融完全
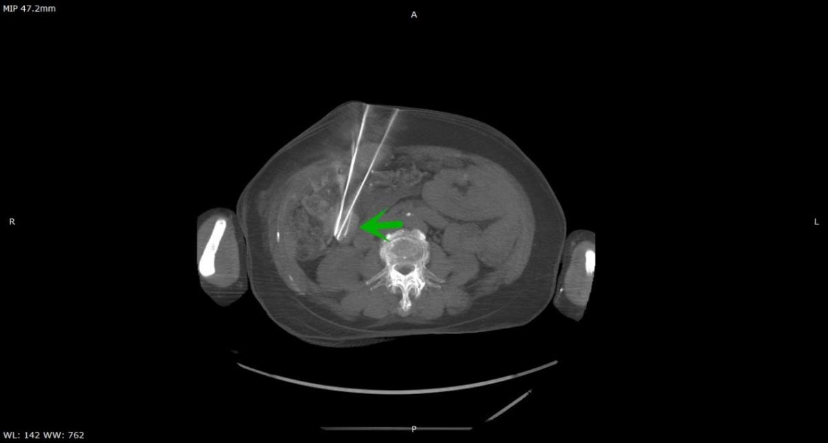
病例二:患者范某,女,82岁,卵巢癌腹部多发转移瘤行粒子植入手术。转移瘤大小约3cmx4cmx3.5cm,拟分布3根穿刺针,植入12颗粒子。转移瘤贴近肾脏边缘,位于肾动脉旁,穿刺位置深度达18cm,进针路径中需要避开腹部肠管,手术风险非常高。术中通过导航机器人计划系统一次布置3针,均采用一步进针方式完成,通过机器人验证系统可以看到进针全部到达靶区,术后验证与计划处置完全一致,穿刺位置非常理想,行粒子植入手术。术中CT扫描3次,计划处置时间13min,术后未发生并发症。
手术现场
穿刺结果与计划完全一致
导航机器人可应用于组织活检、穿刺引流、冷冻消融、微波消融、射频消融、放射性粒子植入、纳米刀等多种类型手术中。
与会专家对导航机器人的临床价值和科研价值给与了充分肯定。实力决定成败,新型科室的建设离不开高端医疗设备的支撑,高端医疗设备的临床应用有助于提高科室影响力,提高医院知名度,提高老百姓认知度。新型医院及科室建设需要持久且不断加强独特诊疗模式,满足患者逐渐多样化深入化的医疗服务需求。
